Happy smile and such a heartfelt review post correction with surgery and braces

Planning for surgery involves taking an impression of the patients jaw and simulating its position in surgery and making an occlusal splint for the orthognathic surgery.

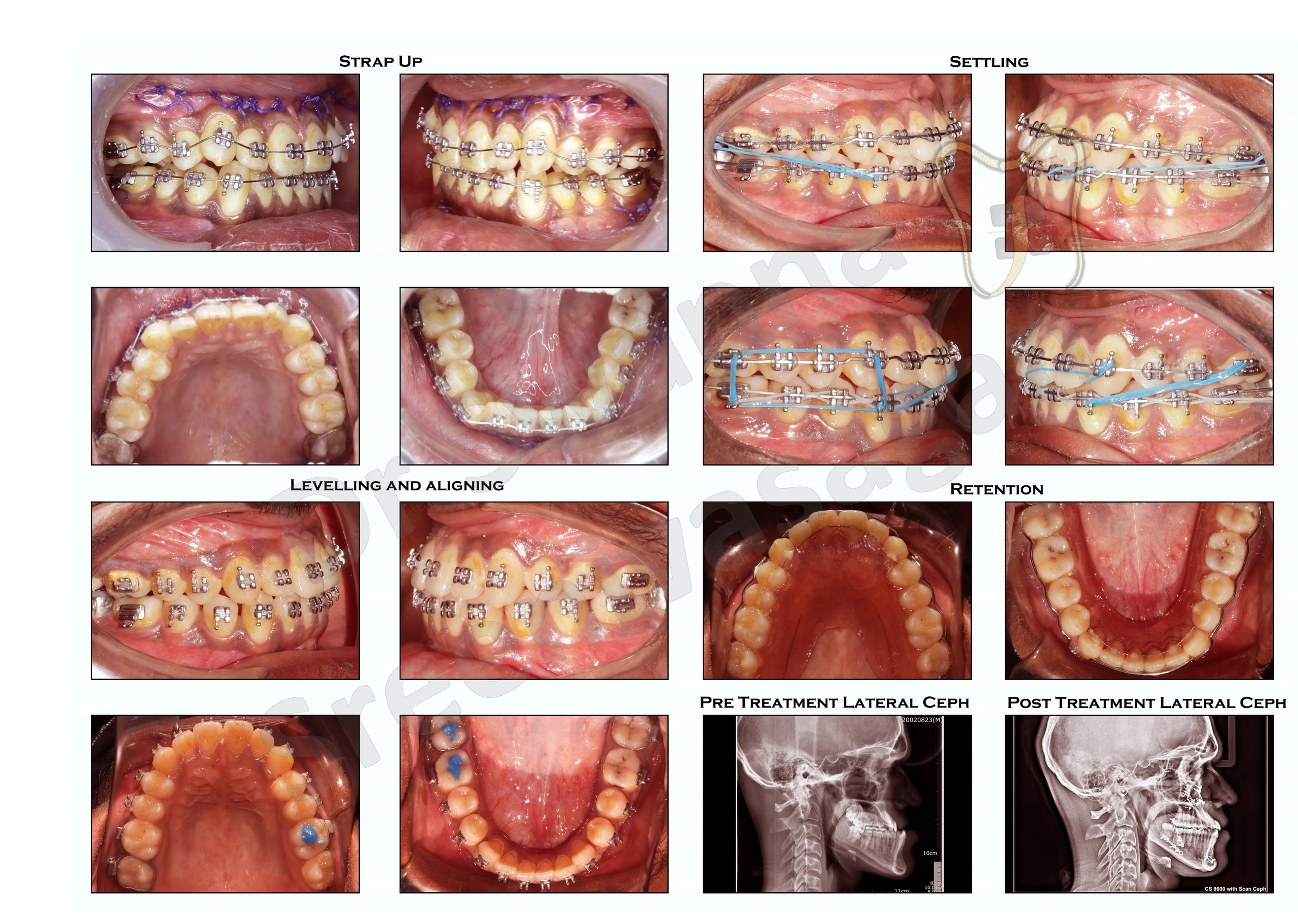
The sequence of treatment from bracket placement to post surgical settling of the new occlusion or bite.

Before and after Orthognathic surgery and braces

Complete denture restoring smiles. Giving her the confidence and comfort she needs.

NO MEANS NO. She said no to surgery. Smile crafted using braces and mini-implants.

Copyright © 2024 4S Dentistree - All Rights Reserved.
Powered by GoDaddy