













.jpeg/:/rs=w:370,cg:true,m)


We believe that everyone deserves a beautiful smile. That's why we offer flexible financing options to help make your treatment more affordable.

Fixed partial Denture or bridges for Missing teeth takes support from neighboring teeth by reduction of tooth structure. It is called a bridge by lay man as the replaced missing teeth is hanging by the support of the teeth near it.

Restore early Childhood caries is very essential as this is an active infection in your child's mouth . If left untreated it can affect the adult teeth forming within the bone.
The caries teeth can be lost and can cause less space avialable for the permanent or adult teeth to erupt

Root canal treated teeth requires crown to provide strength. The pulp that contains blood supply and nerves are removed and caries weaken tooth structure.
A crown or cap of material made with metal or ceramic or a combination of these provide strength and support to the teeth.

Veneers is an ideal option to treat mild spaces between teeth, when teeth is discolored and abnormal in shape.

Implant is one of the most ideal option to replace a missing tooth. It holds the alveolar bone preventing bone loss from site. No need to take support from neighbouring teeth.

Carious baby teeth needs to be restored immediately, if the teeth is left with infection it can affecting the developing permanent teeth.

Do not fret if you knock off your teeth. Meet your dentist immediately. If your teeth is completely knocked off take it to the dentist by storing in milk / coconut water or in your Saliva. Do not wash the teeth in tap water or wipe with tissue.

Occlusal splint can prevent the damage of teeth structures in patients with night grinding of teeth

Ignoring a cavity or decay in your teeth will cause the spread of infection to the pulp of the teeth . This will cause severe night time pain and sensitivity to cold and hot foods.
Treatment at this stage is by doing a root canal treatment and removing the infected pulp.

The teeth needs to be maintained by proper oral hygiene even after root canal to prevent secondary infection.
Sometimes even teeth previously treated with Root canal will require a new Re-RCT to eliminate this infection that could spread beyond the tooth roots

After an implant is placed in the alveolar bone it is given a healing phase of 3-6 months . Post this healing period the implant is restored with a implant crown or cap.

Complete dentures are custom-made removable prosthetic devices that replace all of your missing teeth in either the upper or lower jaw, providing a natural-looking smile and restoring essential functions like chewing and speaking. Crafted to fit the unique contours of your mouth, these dentures offer comfort and support while enhancing your overall oral health.

Implant-supported dentures redefine comfort and confidence, offering stability like never before. Embrace the joy of eating, laughing, and living without worries. Rediscover your radiant smile with the strength of dental implants

The third molar or wisdom teeth or 8th teeth most commonly gets impacted or doesn't erupt into the oral cavity. Often they are malpositioned and can cause food accumlation behind the last molar or can cause pain in the gums.
The removal of wisdom teeth is a solution for Impacted teeth.

Teeth which can not be saved or is damaged due to fracture or caries beyond repair needs to be extracted.
It is very important to replace a tooth when extraction is done

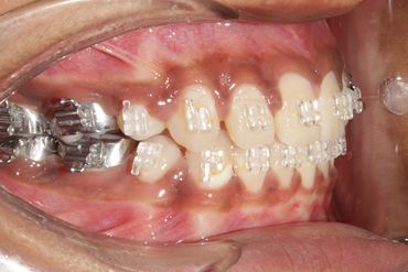
In some cases, orthodontic surgery may be necessary to achieve optimal results. Our team works closely with oral surgeons to provide comprehensive care.

We specialize in treating children and adolescents, and offer a range of orthodontic treatments that are designed specifically for younger patients.

It's never too late to achieve the smile you've always wanted. We offer a range of orthodontic treatments that are designed specifically for adults.

Laser gingivectomy increases crown length, painless , blood less and gives you a fuller smile.
We use cookies to analyze website traffic and optimize your website experience. By accepting our use of cookies, your data will be aggregated with all other user data.